さっぽろ矯正歯科について
さっぽろ矯正歯科について
治療のこだわり・安心
院長紹介
スタッフ紹介
月間スケジュール
大人の矯正治療
大人の矯正治療
大人の矯正の流れ
大人の矯正料金
外科的矯正治療
部分矯正
よくあるご質問
子供の矯正治療
子供の矯正治療
子供の早期治療のリスクについて
子供の矯正の流れ
子供の矯正料金
よくあるご質問
矯正料金
治療例
お知らせ
豆知識ブログ
求人情報
総合お問い合わせ
来院予約
子供の早期治療のリスクについて
ご相談
資料請求
お問い合わせ
LINE@でご予約・相談
TEL.
011-833-4188
受付/10:00〜12:30、14:30〜19:00
※土:17:30まで(月・日・祝定休)
Google Map
さっぽろ矯正歯科について
ORTHODONTIC
TREATMENT
さっぽろ矯正歯科
について
詳細はこちら
治療のこだわり・安心
院長紹介
スタッフ紹介
アクセス
月間スケジュール
大人の矯正治療
ORTHODONTIC
TREATMENT
FOR ADULT
大人の矯正治療
詳細はこちら
大人の矯正の流れ
大人の矯正料金
外科的矯正治療
部分矯正
よくあるご質問
子供の矯正治療
ORTHODONTIC
TREATMENT
FOR CHILDREN
子供の矯正治療
詳細はこちら
子供の早期治療のリスクについて
子供の矯正の流れ
子供の矯正料金
よくあるご質問
矯正料金
治療例
お知らせ
豆知識ブログ
求人情報
来院予約
ご相談
資料請求
治療例
TOP
治療例
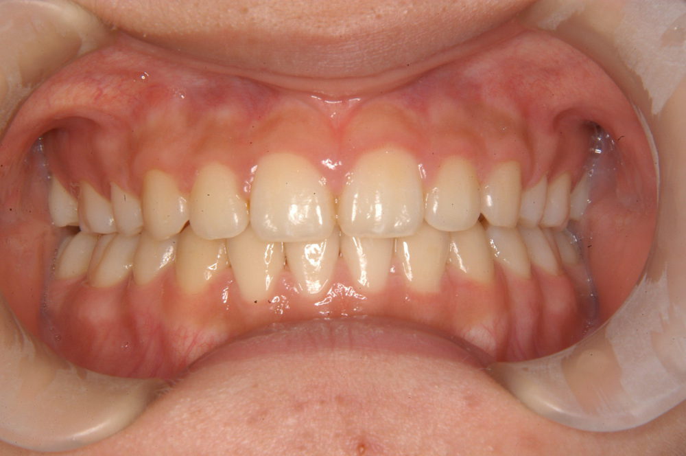
出っ歯・口元 バランス改善
15歳 上顎前突症例(出っ歯)の治療
出っ歯・口元 バランス改善
2023.04.12
15歳 上顎前突症例(出っ歯)の治療
医院長からのコメント
上の前歯を最大限に後退させるために第一小臼歯(4番目)を抜歯して歯を動かすスペースを獲得しました。ヘッドギアを頑張って頂き、さらに下あごの成長が旺盛であったために良好な結果を得る事が出来ました。出っ歯の治療では思春期の下顎骨の成長が有利に働くことがあるので、治療開始時期も大切です。
Before
After
治療期間
治療期間は27ヶ月を要しましたが、顎骨の成長を利用しながら治療することができたので適正な期間だったと思います。
ヘッドギアや顎間ゴムなど患者様の協力が必要不可欠です。
本症例は指示通りに装置を使っていただいたため、良好な結果を得ることができました
治療内容
主訴
出っ歯
診断名
上突歯列咬合
年齢
15歳
装置名
マルチブラケット ヘッドギア
抜歯部位
上下顎左右側第一小臼歯
治療期間
27ヶ月
総額
約80万円
術前において更なる不正咬合の進行のリスクがあります
特別な副作用はありません
担当歯科医師
さっぽろ矯正歯科 院長
桜田 明宏
日本歯科専門医機構認定矯正歯科専門医
歯の裏側の矯正
上顎前歯の審美障害
CONTACT
お気軽にご相談・お問い合わせください
TEL.
011-833-4188
受付/10:00〜12:30、14:30〜19:00
※土:17:30まで(月・日・祝定休)
お問い合わせ