矯正治療には患者様の症状やご要望に合わせた様々な治療方法がございます。
これまで行なった治療事例を用いて分かりやすくご紹介いたします。
外科矯正
骨格性下顎前突症
上下顎骨の位置関係に大きなズレがあるため、外科矯正の適応と診断しました。手...
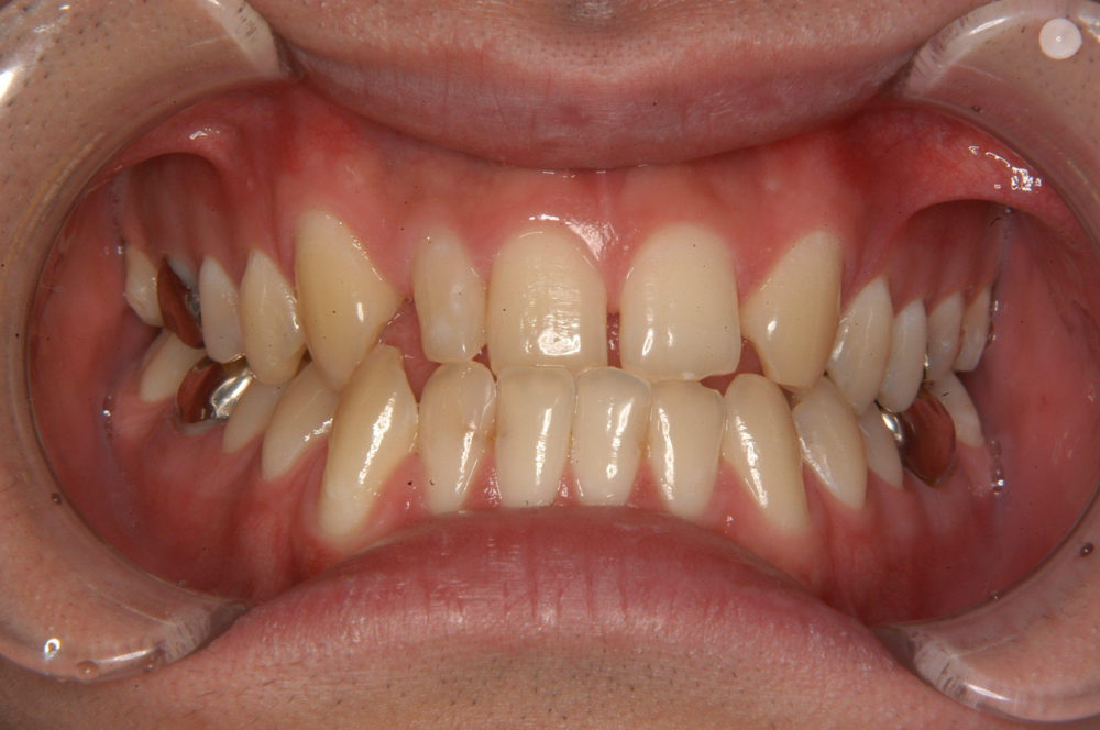
部分的な治療・その他
上顎前歯の審美障害
数年前、他院にて上顎前歯部の審美修復のために差し歯で改善を試みるも満足した...
出っ歯・口元 バランス改善
口唇のバランスが改善された上下突歯列
叢生(歯列のデコボコ)を伴う上下突(前歯の突出)歯列の症例です。このような...
歯列のでこぼこ・ 八重歯
歯の裏側の矯正
歯の裏側の矯正治療例です。リンガルブラケット法とか舌側矯正とか呼ばれるのが...
部分的な治療・その他
上顎前歯の審美修復のための部分矯正
上顎2番目の歯を修復するために部分矯正を行いました。つまり、歯の形を変えた...
前歯のかみ合わせ(開咬)
23歳女性 叢生を伴う開咬
開咬症例は奥歯の矯正が大切なので、智歯(親知らず)を抜歯して改善しました。...
CONTACTお気軽にご相談・お問い合わせください