担当歯科医師

さっぽろ矯正歯科 院長桜田 明宏
日本歯科専門医機構認定矯正歯科専門医









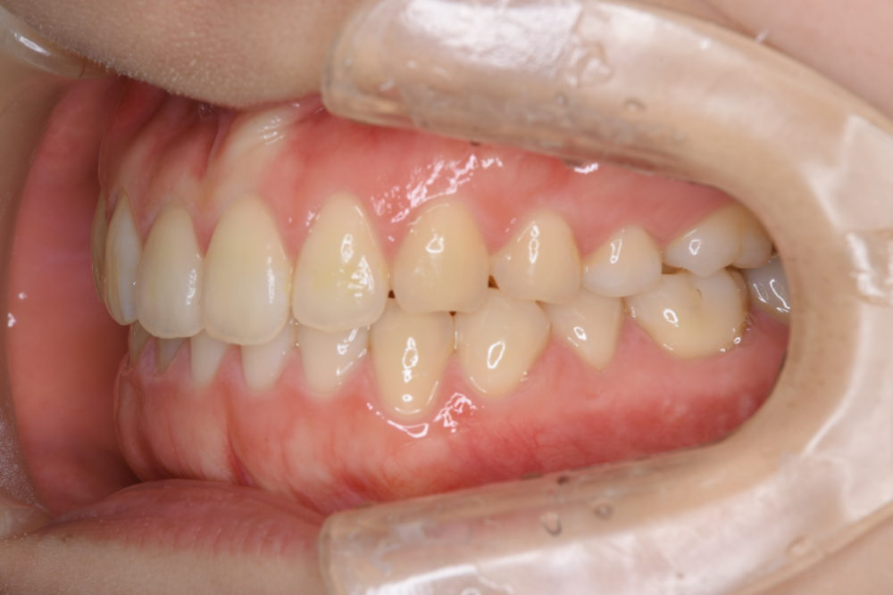
| 主訴 | 受け口 |
|---|---|
| 診断名 | 骨格性下顎前突症 |
| 年齢 | 17歳 |
| 装置名 | マルチブラケット |
| 抜歯部位 | 下顎左右側の親知らず |
| 治療期間 | 30ヶ月 |
| 総額 | 保険診療3割負担で、矯正治療は約25万円 手術入院費は約20万円 |
| リスク | かみ合わせや顎骨の大きなずれは、歯の寿命に影響を与えたり、全身的には不定愁訴を訴えたりすることがあります。手術直後は顎のしびれが生じますが、次第に収まります。 |
| 副作用 | 特別な副作用はありませんでした |

CONTACTお気軽にご相談・お問い合わせください