さっぽろ矯正歯科について
さっぽろ矯正歯科について
治療のこだわり・安心
院長紹介
スタッフ紹介
月間スケジュール
大人の矯正治療
大人の矯正治療
大人の矯正の流れ
大人の矯正料金
外科的矯正治療
部分矯正
よくあるご質問
子供の矯正治療
子供の矯正治療
子供の早期治療のリスクについて
子供の矯正の流れ
子供の矯正料金
よくあるご質問
矯正料金
治療例
お知らせ
豆知識ブログ
求人情報
総合お問い合わせ
来院予約
子供の早期治療のリスクについて
ご相談
資料請求
お問い合わせ
LINE@でご予約・相談
TEL.
011-833-4188
受付/10:00〜12:30、14:30〜19:00
※土:17:30まで(月・日・祝定休)
Google Map
さっぽろ矯正歯科について
ORTHODONTIC
TREATMENT
さっぽろ矯正歯科
について
詳細はこちら
治療のこだわり・安心
院長紹介
スタッフ紹介
アクセス
月間スケジュール
大人の矯正治療
ORTHODONTIC
TREATMENT
FOR ADULT
大人の矯正治療
詳細はこちら
大人の矯正の流れ
大人の矯正料金
外科的矯正治療
部分矯正
よくあるご質問
子供の矯正治療
ORTHODONTIC
TREATMENT
FOR CHILDREN
子供の矯正治療
詳細はこちら
子供の早期治療のリスクについて
子供の矯正の流れ
子供の矯正料金
よくあるご質問
矯正料金
治療例
お知らせ
豆知識ブログ
求人情報
来院予約
ご相談
資料請求
治療例
TOP
治療例
部分的な治療・その他
上顎前歯の審美修復のための部分矯正
部分的な治療・その他
2023.04.12
上顎前歯の審美修復のための部分矯正
医院長からのコメント
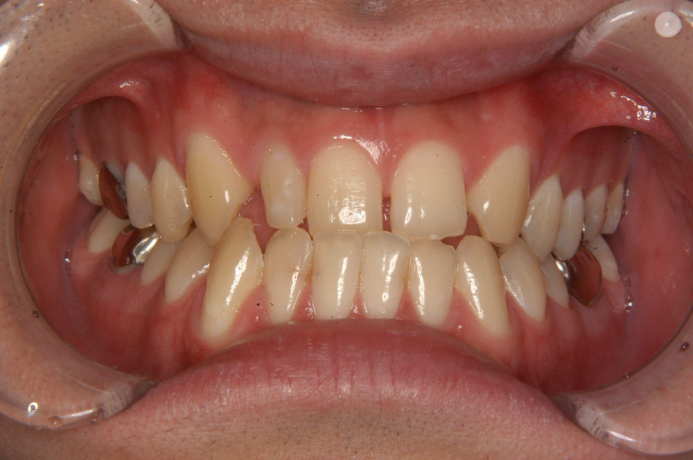
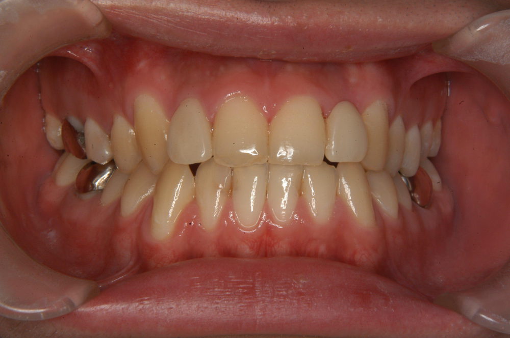
上顎の右側2番目の歯が矮小歯と呼ばれる小さな歯が審美的にも機能的にも改善が必要な状態です。また、左側は2番目の歯が欠損している状態です。これらを改善するためには右側2番目の歯の形をセラミッククラウンで修復し、左側には欠損した2番目の歯を作る必要があります。修復治療が可能にするために、部分矯正を行いました。
Before
After
治療期間
前歯に金具を装着後、2番目の歯に修復を施すために歯を移動させてスペースを作る方針を立案しました。
上顎前歯に金具を装着し、約8ヶ月で装置を外し、仮歯にて修復し経過を観察します。歯列の安定を確認した後に最終的な修復物(セラミッククラウンなど)を装着します。
治療内容
主訴
上顎前歯の審美改善
診断名
空隙歯列
年齢
30歳
装置名
マルチブラケット
非抜歯
治療期間
8ケ月
総額
約20万円
術前において歯列不正が進行するリスクがあります
副作用等はありません
担当歯科医師
さっぽろ矯正歯科 院長
桜田 明宏
日本歯科専門医機構認定矯正歯科専門医
口唇のバランスが改善された上下突歯列
骨格性下顎前突症
CONTACT
お気軽にご相談・お問い合わせください
TEL.
011-833-4188
受付/10:00〜12:30、14:30〜19:00
※土:17:30まで(月・日・祝定休)
お問い合わせ