さっぽろ矯正歯科について
さっぽろ矯正歯科について
治療のこだわり・安心
院長紹介
スタッフ紹介
月間スケジュール
大人の矯正治療
大人の矯正治療
大人の矯正の流れ
大人の矯正料金
外科的矯正治療
部分矯正
よくあるご質問
子供の矯正治療
子供の矯正治療
子供の早期治療のリスクについて
子供の矯正の流れ
子供の矯正料金
よくあるご質問
矯正料金
治療例
お知らせ
豆知識ブログ
求人情報
総合お問い合わせ
来院予約
子供の早期治療のリスクについて
ご相談
資料請求
お問い合わせ
LINE@でご予約・相談
TEL.
011-833-4188
受付/10:00〜12:30、14:30〜19:00
※土:17:30まで(月・日・祝定休)
Google Map
さっぽろ矯正歯科について
ORTHODONTIC
TREATMENT
さっぽろ矯正歯科
について
詳細はこちら
治療のこだわり・安心
院長紹介
スタッフ紹介
アクセス
月間スケジュール
大人の矯正治療
ORTHODONTIC
TREATMENT
FOR ADULT
大人の矯正治療
詳細はこちら
大人の矯正の流れ
大人の矯正料金
外科的矯正治療
部分矯正
よくあるご質問
子供の矯正治療
ORTHODONTIC
TREATMENT
FOR CHILDREN
子供の矯正治療
詳細はこちら
子供の早期治療のリスクについて
子供の矯正の流れ
子供の矯正料金
よくあるご質問
矯正料金
治療例
お知らせ
豆知識ブログ
求人情報
来院予約
ご相談
資料請求
治療例
TOP
治療例
部分的な治療・その他
矯正と審美修復例
部分的な治療・その他
2023.04.11
矯正と審美修復例
医院長からのコメント
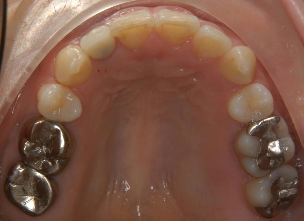
本症例は上顎右側側切歯が欠損している状態です。すなわち犬歯が側切歯の位置に配列しているので左右のバランスをとるために上顎右側第一小臼歯を抜歯して、犬歯を後方に移動し、側切歯のスペースを作りそこにインプラントを植立しました。
Before
After
治療期間
歯の裏側の矯正で、スペースを作ったり、犬歯を後方に移動させたりしたので、治療期間は3年を要しました。
治療内容
主訴
不正咬合
診断名
叢生
年齢
34歳
装置名
舌側ブラケット
抜歯部位
上下顎左右側第一小臼歯
治療期間
3年
費用
総額約90万円(インプラント治療代含まず)
術前において歯や歯ぐきに疾病を招くリスクがあります
特別な副作用はありません
担当歯科医師
さっぽろ矯正歯科 院長
桜田 明宏
日本歯科専門医機構認定矯正歯科専門医
口唇のバランスが改善された上下突歯列
骨格性下顎前突症
CONTACT
お気軽にご相談・お問い合わせください
TEL.
011-833-4188
受付/10:00〜12:30、14:30〜19:00
※土:17:30まで(月・日・祝定休)
お問い合わせ