こんにちは。さっぽろ矯正歯科クリニック、院長の桜田です。
歯の矯正を検討する中で、どのような歯医者を選べば良いかわからないという方も多いと思います。
さまざまな歯科医院が存在する上、歯科・小児歯科・矯正歯科・歯科口腔外科など、さまざまな診療科目の表記があり、どの医療機関が適切なのか迷ってしまいますよね。
そこで今回は、矯正歯科医院の選び方について解説します。

目次
矯正歯科の選び方とは?矯正歯科の専門医についても解説
歯科医院では「歯科」「矯正歯科」といった標榜(ひょうぼう)がされていて、これを標榜科目といいます。
なお、標榜科目とは診療科目名のことを指します。
医療法の中で「歯科診療所では許された範囲の中でしか広告をしてはならない」と定められており、その内の一つに診療科目名を広告として使用して良いということが認められています。
現在、政令で定められた診療科目名として標榜できるものは「歯科」「小児歯科」「矯正歯科」「歯科口腔外科」の4つです。
これらを複数組み合わせての使用も、常識の範囲内であればOKとされています。
ここで、注意すべき問題点があります。
これらの標榜科目は「歯科医師の免許を持った歯科医師が行うのであれば、専門的な技術を持っていなくても診療科目を掲載できる」ということです。
すなわち診療科目は実際の経験や知識・技術力がなくても、「できます」と宣伝することが可能ということです。
したがって、看板やホームページを見て受診した結果、治療内容の経験値が低い歯科医師が治療を行った場合は、患者さんの希望に沿った治療結果を得られないことも考えられます。
現在、厚生労働省は日本歯科専門医機構を立ち上げ、標榜とは別に広告できる専門医制度を作りました。
また、日本矯正歯科協会(JIO)においても認定歯科矯正医の制度が設けられています。
これらは厳しい技能検定をパスしなければ取得できない、極めて信頼性の高い資格で、国民が安心して質の高い矯正治療を受けられる社会を目指して運用されています。
専門医が在籍する「矯正歯科専門医院」には、一般的な歯科医院とは異なる大きな特徴があります。
専念された診療体制
「歯科・口腔外科・小児歯科・矯正歯科」というように、多岐にわたる診療科目を並行して掲げることはせず、「矯正歯科」のみを標榜します。
専門性を追求するため、口腔外科・一般歯科・医科との連携により、高次の歯科医療を提供します。
一貫した責任体制
矯正歯科専門医院は、最初から最後まで一人の矯正歯科医が責任を持って治療を担当するため、途中で担当が変わる不安がありません。
また、休診日を除いて毎日が矯正の治療日であるため、特定の曜日しか受診できないといった制約もありません。
的確な診断とオーダーメイド治療
「絶対に歯を抜かない」「短期間で治療が終わる」といった安易な勧誘文言は使わず、詳細な診査と的確な診断により、すべての患者さんに対してフルオーダーメイドの治療計画を立案します。
矯正歯科を選ぶ際には、「矯正歯科専門医院」であるかどうかにも注目してみてください。
なお、さっぽろ矯正歯科クリニック院長の桜田も、日本歯科専門医機構認定の矯正歯科専門医、および日本矯正歯科協会(JIO)認定の歯科矯正医です。
矯正歯科の選び方で押さえたい10のポイント

私が考える、矯正歯科医院を選ぶ際にチェックしていただきたいポイントを10個お伝えします。
- 日本歯科専門医機構の認定矯正歯科医が在籍しているか
- 矯正歯科医師が常勤でいるかどうか
- 矯正治療に必要なセファログラムやCT撮影の機器が整備されているか
- 複数の矯正装置を取り扱っているか
- 矯正治療のメリットやデメリットを説明してくれるか
- 費用や治療期間について説明してくれるか
- 矯正中のトラブルに対応してくれるか
- 矯正歯科と一般歯科との連携はとれているか
- 通いやすい歯科医院かどうか
- 院内が清潔で手入れが行き届いているか
それぞれのポイントについて解説します。
①日本歯科専門医機構の認定矯正歯科医が在籍しているか
矯正歯科医院を選ぶ大前提として、「日本歯科専門医機構認定矯正歯科医」が在籍している矯正歯科を選びましょう。
この認定矯正歯科医は厚生労働省が認める唯一の広告のできる矯正専門歯科です。
日本矯正歯科専門医機構から矯正専門医として認定されるためには、まず日本矯正歯科学会による認定医を取得する必要があります。
認定医は5年間におよぶ矯正歯科の専門的な研修を受け、学会の試験に合格する必要があります。
さらに、専門医の認定試験に合格する必要があり、ハードルの高い資格となります。
現在(令和7年)は全国で220名ほどが認定されています。
つまり、専門医は矯正治療の技術・知識が豊富であるということなのです。
専門医の詳細は日本歯科専門医機構のホームページで確認できます。
なお、当院は2023年度に認定されています。(専門医一覧はこちら)
②矯正歯科医師が常勤でいるかどうか
実は、矯正歯科医が常勤でいる一般歯科医院は少ないのが現状です。
一般歯科で行われている矯正治療は、院長が一般歯科治療をするかたわら行う場合や、決まった日時に大学病院などから矯正歯科医が派遣されて治療する場合などがほとんどです。
大学病院などから派遣された矯正歯科医師は定期的に担当が変わります。
また、緊急時の対応ができないこともあります。
矯正歯科専門医院は、専門的な知識と技術を有する歯科医師が、常勤で矯正治療だけを行っている歯科診療所です。
毎日矯正治療を行っているので、一般歯科のように決まった日時に来なくてはならないということはなく、都合の良い日に予約ができます。
また、緊急時の対応も迅速に受けられ、同じ担当医が一貫した治療を最後まで受診することができます。
一般歯科医院と比べると症例数は10倍以上といわれおり、専門的な設備も整っています。
③矯正治療に必要なセファログラムやCT撮影の機器が整備されているか
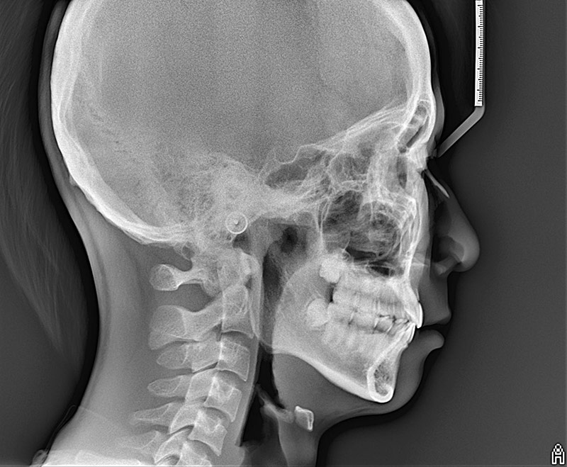
セファログラム(頭部X線規格写真)撮影装置は、矯正治療に不可欠な撮影機器です。
セファログラムとは、ある一定の規格に則ったレントゲン写真で、顔の側面や正面を撮影し、上顎と下顎のバランスやズレ、顎の形、歯の傾き方、顔面全体と口元のバランスなどが診断できます。
セファログラムから得られた情報がなければ、治療計画を立てることができません。

セファログラム
セファログラムから得られた情報結果は、ポリゴン表やプロフィログラムといった分析により、治療前・中・後の治療方針の一助とします。
つまり、矯正歯科医にとって、セファログラムなくして矯正治療を行うことはありません。
また、矯正専門医はセファログラムから得られた知見を患者様に提示し、説明します。
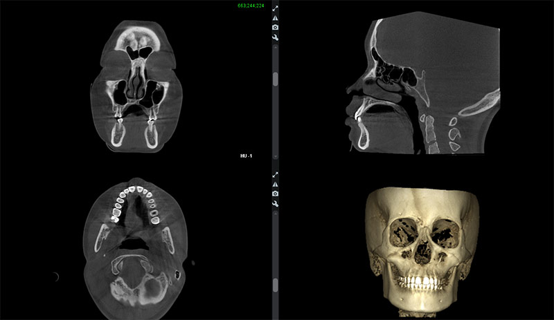
近年では、セファログラム以外にもCT撮影が診断に大きく携わっています。

CT
CTはセファログラムでは得られない、3次元的な情報を細部まで得ることができるので、レントゲン撮影のような平面では判断できない診断が可能となり、より的確な治療を提供できます。
矯正歯科の機材や設備に関しては、歯科医院のホームページを確認したり、矯正治療の相談時に直接確認したりするなど、事前にチェックしてから治療に臨むと良いでしょう。
④複数の矯正装置を取り扱っているか
矯正専門医院では、患者様の希望やさまざまな症例に対応できるように、複数の矯正装置を用意しています。
そうすることで、例えば「費用を抑えたい」「目立たない」「表から見えない」などの要望に対応できます。
ただし、どの矯正装置が適しているかは、患者様の症状や歯の状態によって異なりますので、最も適した矯正方法を選択することが重要です。
そのため、複数の矯正装置を取り扱い、患者様のニーズに合った選択肢を提供できる歯科医院を選ぶと良いでしょう。
⑤矯正治療のメリットやデメリットを説明してくれるか
矯正歯科を選ぶ際のポイントとして、矯正治療のメリット・デメリットをわかりやすく説明してくれるかどうかも挙げられます。
矯正装置の違いや矯正治療のメリット・デメリットを、治療前に解説してくれるかどうかも確認しましょう。
当院のホームページでは「矯正治療を始める前に」を掲載して、詳しくスライドで解説しています。
参考にしてください。
⑥費用や治療期間について説明してくれるか
矯正治療は、不正咬合の状態や使用する装置によって費用や期間が異なります。
治療方針と患者様のニーズに合った治療方法を選ぶことが大切です。
矯正治療は保険適用となる条件が限られており、多くの場合は自費診療となります。
矯正治療費は多額となりますので、「金具を付けている期間」「患者様の症状に合った矯正装置」「治療に必要な費用」を具体的に提示してくれる矯正専門医院を選ぶことをおすすめします。
特に期間の予測は、経験豊富な矯正歯科専門医でなければ判断が難しいことがあります。
費用は各歯科医院によって料金体系が異なります。
比較する際は、「検査費」「診断料」「基本治療費」「装置代」「毎回の処置料」をチェックしましょう。
費用の発生するタイミング別に比較検討すると分かりやすいです。
医院によってはすべてをトータルで料金設定(トータルフィ)しているところもありますので、その際は全てのタイミングに発生する費用を合計して検討してみてください。
- 初診時:相談料 0円~3,000円程
- 検査時:検査料 5000円~20,000円
- 診断・治療方針報告時:20,000円~30,000円
- 装置装着時:200,000円~1,000,000円
- 調整時(通院毎):5,000円~10,000円
- 保定装置装着時:40,000円~80,000円
- 保定後経過観察時:1,000円~5,000円
これ以外にも発生する費用はさまざまですが、例えば「抜歯・虫歯治療」「ブラケット以外の装置」「ブラッシング指導料」など、各歯科医院独自の料金設定があります。
いずれにしても、料金の内容を分かりやすく明示してくれる矯正歯科を選びましょう。
なお、期間や費用については当院ホームページの豆知識ブログでも紹介していますので、参考にしてください。
⑦矯正中のトラブルに対応してくれるか
矯正治療中は矯正装置の一部が外れたり、口腔粘膜に装置が当たって痛むなどトラブルが生じることがあります。
よくあるトラブルは以下の通りです。
- ・金具が外れた
- ・矯正装置が壊れた
- ・金具やワイヤが当たって痛い
- ・虫歯や歯肉炎
トラブルが生じると、食事や発音など日常生活において影響を与えてしまうため、すぐに対応できる歯科医師や衛生士が在籍している歯科医院を選ぶことが重要です。
⑧矯正歯科と一般歯科との連携はとれているか
矯正治療中は装置を装着することで、虫歯や歯周病のリスクが高まります。
矯正治療を円滑に進めるためにも早期治療が必要なため、一般歯科との連携が取れていることが重要です。
また、矯正治療では抜歯が必要になることがありますので、信頼できる口腔外科との連携も大切です。
⑨通いやすい歯科医院かどうか
矯正治療の通院頻度は装置の種類によって異なりますが、短くて1か月に1回の通院が数年続きます。
例えば、治療期間中に1か月通院しないことが3回あると、3カ月以上の治療期間の延長となります。
そのため、矯正治療を受ける際は近所や駅の近くなどの交通機関、駐車場の有無などの立地条件、ライフスタイルに合った診療時間をチェックして、通いやすさも考慮に入れて矯正歯科医院を選びましょう。
⑩院内が清潔で手入れが行き届いているか
院内はもちろん、治療で使用する設備も常に清潔でなければなりません。
院内の感染防止対策や清掃が行き届いているかなど、清潔感が感じられるかどうかもチェックしましょう。
矯正歯科選びに悩むときは初診相談がおすすめ
先ほどご紹介したポイントを踏まえて、信頼できそうな矯正歯科医院が見つかったら、まずは無料の「初診相談」を活用することをおすすめします。
ホームページや看板の情報だけでは見えにくい、クリニックの雰囲気や清潔感、患者への対応や説明の分かりやすさなどを、直接確かめることができるからです。
初診相談では、現在の歯並びの状況や予測される治療期間、費用の概算などを聞くことができるでしょう。
気になることや不安なことは遠慮せずに質問して、納得できる回答が得られるかどうかも確認してください。
数年にわたる長いお付き合いになるので、安心して通うことができる矯正歯科医院を見つけてくださいね。
矯正歯科の選び方を把握し、きれいな歯並びを手に入れよう
●歯科では「歯科」「小児歯科」「矯正歯科」「歯科口腔外科」の4つが診療科目名として標榜できますが、必ずしも専門的な技術力を保証するものではないため、専門医の在籍の有無が歯科選びの大きなポイントになります。
●専門医が在籍する「矯正歯科専門医院」には、特化した診療体制、一貫した責任体制、的確な診断とオーダーメイド治療の提供、といった一般的な歯科医院とは異なる大きな特徴があります。
●矯正歯科の選び方で押さえたいポイントとしては、日本歯科専門医機構の認定矯正歯科医が在籍しているか、矯正歯科医師が常勤でいるかどうか、矯正治療に必要なセファログラムやCT撮影の機器が整備されているか、矯正治療のメリットやデメリットをきちんと説明してくれるか、などが挙げられます。
●矯正歯科選びに悩むときは、まずは無料の初診相談を活用することがおすすめです。
さっぽろ矯正歯科では初回無料相談も行っておりますので、まずはお気軽にご相談ください!
LINE@からのご相談も承っております。
